
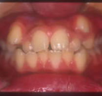
治療例(自由診療)

八重歯、乱杭歯(叢生)
主訴(八重歯が気になる)
診断名(叢生)
歯が重なり合って、口の中がでこぼこしています。見た目も良くありません。上下の歯がしっかり咬み合わされていないので、よく噛めません。
施術前→治療開始12歳0ヶ月
施術後→動的治療終了14歳2ヶ月
リンガルアーチとマルチブラケット装置を使用(4本抜歯)
治療期間2年2ヶ月(治療回数 月1回程度)
料金は上下で65万円

施術前
施術後
リスクと副作用
●歯磨きが不十分な場合は、歯肉炎になったり口内炎ができる事があります。
●親知らずにより歯並びが変化する事がありますので、治療終了後も経過観察で通院をお願いしています。
※その他一般的なリスクは次項目に記載

うけ口(反対咬合)
主訴(噛み合わせが反対)
診断名(反対咬合)
下の歯が上の歯より前に出ているので、良く噛めません。発音も聞きとりにくくなってしまいます。顔の中で下あごばかりが目立ってしまいます。
施術前→治療開始14歳2ヶ月
施術後→動的治療終了15歳10ヶ月
装置はリンガルアーチとマルチブラケット装置を使用(下顎2本抜歯)
治療期間1年8ヶ月(治療回数 月1回程度)
料金は上下で65万円

施術前
施術後
リスクや副作用
●歯磨きが不十分な場合は、歯肉炎になったり口内炎ができる事があります。
●舌訓練が必要な事があります。
●親知らずにより歯並びに影響がある場合は、治療途中または終了後に親知らずを抜歯していただく事があります。
※その他一般的なリスクは次項目に記載

出っ歯(上顎前突)
主訴(前歯が気になる)
診断名(上顎前突)
上の歯が前につき出ているので、良く噛めないばかりか、見た目も良くありません。
顔の中でも、とがった口もとばかりが目立ってしまいます。
施術前→治療開始12歳4ヶ月
施術後→動的治療終了14歳2ヶ月
装置はリンガルアーチとマルチブラケット装置を使用(上顎2本抜歯)
治療期間1年10ヶ月(治療回数 月1回程度)
料金は上下で65万円

施術前
施術後
リスクや副作用
●歯磨きが不十分な場合は、歯肉炎になったり口内炎ができる事があります。
●親知らずにより歯並びが変化する事がありますので、治療終了後も経過観察で通院をお願いしています。
※その他一般的なリスクは次項目に記載

開咬
主訴(前歯が閉じれない)
診断名(開咬)
奥歯は咬んでも、前歯は咬み合わずに開いています。
前歯でほとんど噛むことが出来ません。 発音も聞きとりにくく、見た目も良くありません。
前歯にすき間がたくさんあります。
施術前→治療開始8歳10ヶ月
施術後→動的治療終了11歳3ヶ月
装置はパラタルバーとHG(非抜歯)
治療期間2年5ヶ月(治療回数 月1回程度)
料金は上下で35万円

施術前
施術後
リスクや副作用
●歯磨きが不十分な場合は、歯肉炎になったり口内炎ができる事があります。
●舌訓練が必要な場合もあります。
●親知らずにより歯並びが変化する事がありますので、治療終了後も経過観察で通院をお願いしています。
※その他一般的なリスクは次項目に記載
一般的リスク

リスク① 虫歯と歯肉炎
歯磨きの磨き残しから生まれるリスクです。
*対策、毎回歯科衛生士が歯ブラシ練習と機械で磨きます。
装置装着時にコーティングを行う場合もあります。
リスク② 歯根吸収
治療期間を急ぎすぎると矯正力が大きくなり、負担が大きく歯根吸収を起こすことが稀にあります。治療痛の原因にもなります。
*対策、それぞれに適した治療期間を掲示させていただきます。
リスク③ 治療期間の延長
顎骨成長予測外の成長があった場合は、治療期間が予定より長くなることがあります。
*対策、骨格のレントゲン撮影をさせて頂き、確認を行います。


